新闻中心

CMOS的基本名词概览

发布时间:2025-08-19 浏览数:124

接上一篇《视觉9:一口气了解图像传感器-CMOS》,CMOS芯片作为视觉感知系统中最重要的元件,还有很多的知识信息要补充,这篇是对CMOS应用中常见参数名词概念的补充。


01 像素(Pixel)

像素是所有图像传感器的最小感光单元,像素阵列排列在一起形成了图像传感器的感光区域。

像素尺寸(Pixel Size),是指图像传感器单个感光元件的尺寸,通常在um级大小,一般我们能看到两种表述,比如2.2μm或者2.2μm*2.2μm。像素的尺寸越大,接收光子的数量就越多,同光照条件和曝光时间内产生的电荷也越多。

有效像素(Number of effective pixels ),指图像传感器中能够进行有效的光电转换并输出图像信号的像素,是衡量的图像质量的关键指标。由于CMOS中存在部分像素不能作为有效像素使用,致使有效像素少于全部像素。例如48M(M、MP是Megapixel(百万像素)的简称。)的豪威OV48C,有效像素为8096(H)× 6080(V)= 49223680个像素点(分辨率),但是只有8064(H)x6048(V)=48771072个是有效像素,可以输出。


02 光学尺寸/靶面尺寸

靶面Optical Format),我们经常会看到,几分之一的Sensor,指的就是CMOS图像传感器的靶面尺寸,通过计算传感器靶面的对角线长度,通常以mm为单位,再将其换算成英寸,比如常见的1英寸(1")、1/2英寸(1/2")、1/3英寸(1/3")等等。


03 帧率

帧率(Frame Rate)是指芯片在单位时间(每秒)内能够采集并输出完整图像帧的数量,单位为帧 / 秒(fps) 。图像传感器芯片通过像素阵列收集光线并将其转化为电信号,随后经过一系列复杂处理,如放大、模数转换等,最终形成数字图像帧。帧率表征了这一系列操作在每秒内完成的次数。例如,帧率为 60fps 的芯片,意味着每秒能将光线转化并处理成 60 个完整的数字图像帧输出。

04 CFA(色彩滤镜阵列

CFA(Color Filter Array),即色彩滤波列阵,图像传感器中的像素本质上只能感知光的强度,无法直接区分光的波长(光的波长通常以 nm 为单位,例如 650nm 代表红光、940nm 常用于近红外光),因而不能直接感知颜色 。所以,需要在像素之上设置 CFA,通过不同颜色的滤镜,使每个像素能选择性地接收特定波长范围的光,从而间接赋予像素感知颜色的能力。目前主流采用Bayer阵列,也称RGGB或者RGB Bayer。


05 像素类型/像素技术

主要分为FSI(前照式)、BSI(背照式)、堆栈式Stack三种,FSI(前照式)金属配线层在CFA和光电二极管的中间,当光线进入二极管时会有损失,BSI(背照式)则将金属配线层放在了光电二极管的下面,光线透过彩色滤波片后可直接进入到光电二极管,不仅增大了进光量,且有效抑制光线射入角变化引起的感光度下降。堆栈式(Stark)则是背照式的进一步改良,将电路区域挪到了感光元件的底部,最大化了感光区域,同时也缩小了芯片的整体面积。


06 动态范围(Dynamic Range 

动态范围 是指图像传感器芯片的能够同时记录的场景中最亮和最暗部分之间的差异程度 ,通常以分贝(dB)为单位来衡量。Sensor在明亮的场景中,像素接收到大量光子,产生较高的电信号;而在黑暗区域,像素接收的光子较少,电信号较弱。动态范围体现了传感器能够有效处理并区分从极弱到极强电信号的能力。

例如,拍摄夕阳下的城市,亮部的天空和太阳不会过曝成一片白色,暗部的建筑物和街道也能清晰可见,画面细节丰富。相反,低动态范围的传感器可能会使亮部过曝或暗部欠曝,丢失大量细节。


07 CRA(Chief Ray Angle

CRA(主光线角) 通常光线通过镜头(Lens)垂直照射传感器时,像素响应最高,随着入射光线角度增大,响应逐渐降低。一般将像素响应降至垂直入射时 80% 的角度定义为 CRA。在摄像头模组设计中,镜头 CRA 与传感器 CRA 的匹配至关重要。如果两者偏差过大,可能导致照度不均,画面四周变暗;产生色彩偏差,出现色彩偏移;还会造成光线串扰,降低分辨率和对比度。如果镜头的CRA小于Sensor的CRA,就会有偏色现象。


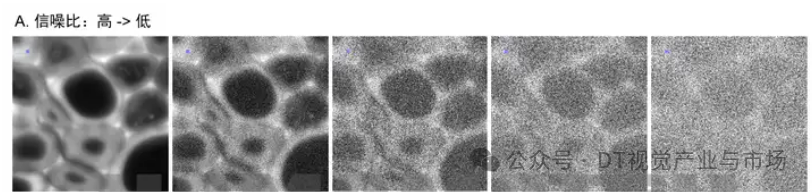
08 信噪比(Signal - to - Noise Ratio,SNR

信噪比(Signal - to - Noise Ratio,SNR)是用于描述信号强度与噪声强度之间的比例关系,它反映了图像传感器在获取图像过程中,对有用信号的捕捉能力,以及对噪声的抑制能力。

高信噪比意味着信号相对噪声更强,图像中的细节能够更清晰地呈现。在低噪声环境下,像素所捕捉到的信号能够更准确地反映物体的真实信息,图像边缘更锐利,纹理更清晰。相反,低信噪比时,噪声会掩盖部分信号,导致图像细节丢失,画面变得模糊,难以分辨物体的细微特征。

噪声也会影响图像的色彩还原。高信噪比有助于保证色彩滤镜阵列(CFA)准确捕捉颜色信息,减少噪声对颜色信号的干扰,从而使图像的色彩更加准确、鲜艳和自然。而低信噪比可能导致颜色偏差,色彩过渡不自然,影响图像的视觉效果。


09 量子效率(Quantum Efficiency,QE

量子效率(QE)反映了Sensor将入射光子转换为电信号的能力。量子效率 取决于材料元素,该元素的特性以及它如何与光相互作用非常重要。接关系到图像传感器的灵敏度。高量子效率意味着在相同的光照条件下,传感器能够产生更多的电信号,从而在低光照环境中也能捕捉到清晰的图像。例如,在夜间监控或微光摄影中,高量子效率的图像传感器能够更有效地利用有限的光线,减少噪点,提高图像质量。在特定波长的光照射下,图像传感器中产生的电子 - 空穴对(即电信号)数量与入射光子数量的比值,通常用百分比表示。例如,该传感器在该波长下,有100 个光子入射到图像传感器上,产生了 60 个电子 - 空穴对,QE就是 60%。如果产生了80个电子-空穴对,QE就是 80%,QE越高,该传感器灵敏度越高,图像质量也越好。


10 传输接口/数据接口

图像传感器芯片的传输接口类型主要有MIPI、LVDSDVP、Parallel等接口。

MIPI(Mobile Industry Processor Interface): 移动行业处理器接口,是MIPI联盟发起的为移动应用处理器制定的开放标准。串行数据,速度快,抗干扰,主流输出接口缺点是传输距离短(≈10cm)。

LVDS:低压差分信号技术接口。

DVP:并口传输,速度较慢,传输的带宽低。

Parallel:并行数据,含12位数据信号,行场同步信号和时钟信号。

HISPI:高速像素接口,串行数据。

SLVS-EC: 由 SONY 公司定义,用于高帧率和高分辨率图像采集,可以将高速串行的数据转化为 DC(Digital Camera)时序后传递给下一级模块 VICAP(Video Capture)。SLVS-EC 串行视频接口可以提供更高的传输带宽,更低的功耗,在组包方式上,数据的冗余度也更低。在应用中 SLVS-EC 接口提供了更加可靠和稳定的传输。


11 Output Format 输出格式

(1)RAW(或RAW RGB)

CMOS图像传感器输出的原始图像格式是RAW。RAW图像就是CMOS图像感应器将捕捉到的光源信号转化为数字信号的原始数据。RAW文件是一种记录了数码相机传感器的原始信息,同时记录了由相机拍摄所产生的一些原数据(Metadata,如ISO的设置、快门速度、光圈值、白平衡等)的文件。RAW是未经处理、也未经压缩的格式,可以把RAW概念化为“原始图像编码数据”或更形象的称为“数字底片”。

(2)RGB

从RAW到RGB格式。RGB格式有RGB565:每个像素用16位表示,RGB分量分别使用5位、6位、5位(常用也就是上说的RGB)RGB555:每个像素用16位表示,RGB分量都使用5位(剩下1位不用)RGB24:每个像素用24位表示,RGB分量各使用8位RGB32:每个像素用32位表示,RGB分量各使用8位(剩下8位不用)ARGB32:每个像素用32位表示,RGB分量各使用8位(剩下的8位用于表示Alpha通道值)。

(3)YUV

YUV三个字母中,其中"Y"表示明亮度(Luminance或Luma),也就是灰度值;而"U"和"V"表示的则是色度(Chrominance或Chroma),作用是描述影像色彩及饱和度,用于指定像素的颜色。YUV存储格式有两大类:planar(平面格式)和packed(打包格式)。


12 封装(Package)

图像传感器芯片封装主要有COB、COM、CSP、PLCC、BGA、LGA、PGA等封装方式。

COB(chip on board),是指将裸片直接与PCB相连的技术,即将晶圆裸片通过打线的方式把芯片上的信号触点和线路板连接在一起。

CSP(Chip Scale Package)封装,即芯片级封装,是在BGA的基础上发展起来,极接近芯片尺寸的封装产品,拥有体积小、电性能良好和散热优良特点。

PLCC,是将CIS通过COB制程打到基板上,然后再盖上支架和贴上IR,成为PLCC。PLCC的底部四边含有焊点,SMT可以直接把PLCC打到焊在PCB/FPC上。BGA为球形触点陈列,表面贴装型封装。LGA是平面网格阵列封装,PGA则属于插针网格阵列封装。

留言咨询

提交

信息提交后,将有专人联系您!